For the kids (and some of you adults as well)

December 8, 2010

You know how kids are. They are very inquisitive and have a lot of “why” questions. My 4 year old asked me the other day, “Why is the sky gray when it snows?” I joked that in Ohio it’s usually gray whether it snows or not. Anyway, I get a lot of kids who look me in the eye ask why they have a cavity. So I thought I like to be as scientific as I can with the kids. I tell them that there are tiny germs in their mouth that they can’t see. These germs love the foods that we love and eat the sugars from those foods. Now this is where it gets scientific; I tell them the germs poop out acid and this acid then causes holes or cavities in their teeth.
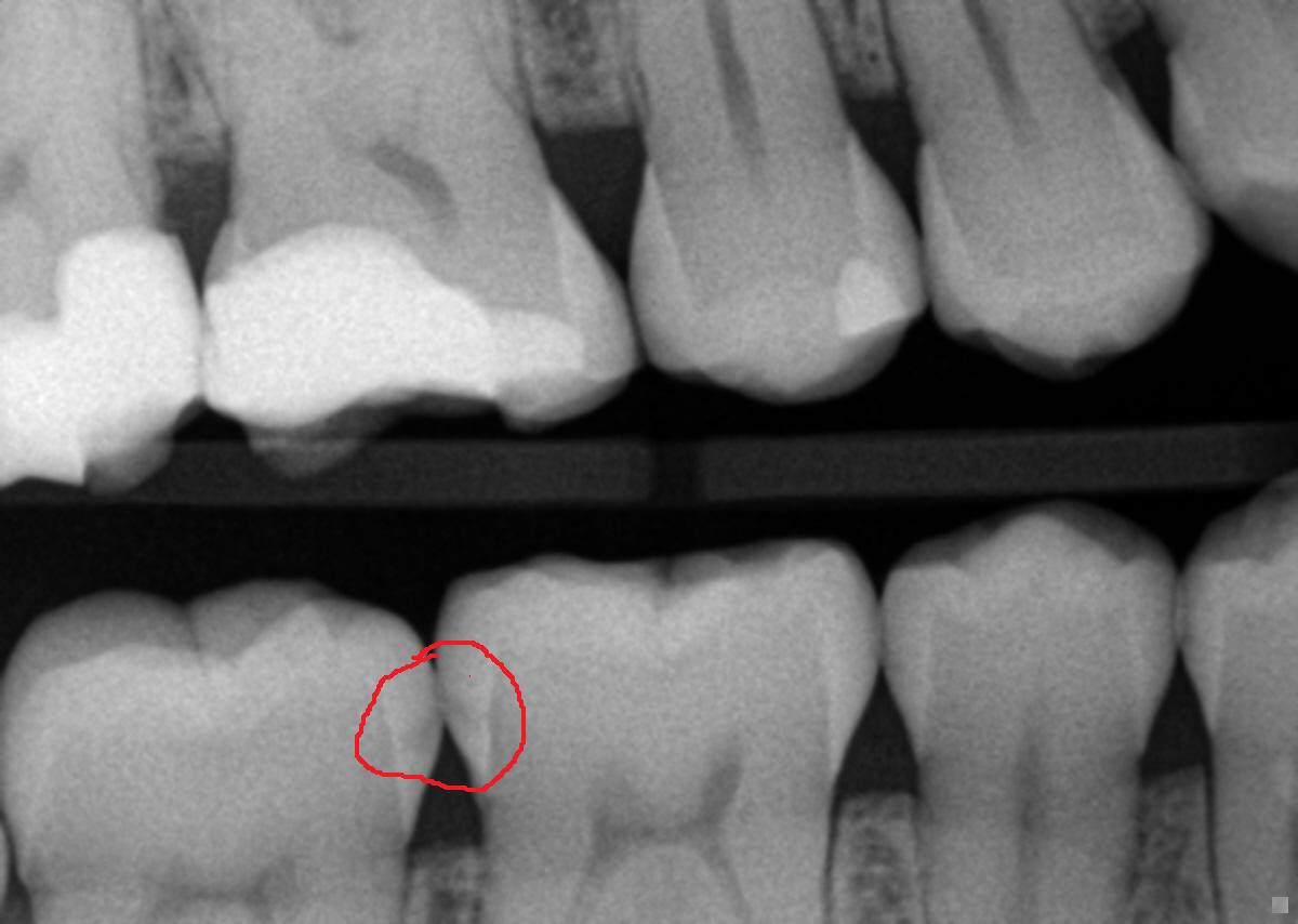
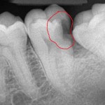
Obviously there is more scientific and dental verbage that can be used here, but that is the summary of what causes a cavity. Our mouths are dirty places and there are some nasty bugs in there. Some are known to cause cavities, others are known to cause gum and bone disease and some have been found to cause heart disease and/stroke (please refer to our previous blog entry about periodontal disease). The sugars and carbohydrates (chips, fries, bread, etc.) provide food for the bacteria and they also create a sticky matrix on the tooth that the bacteria can adhere. Most small cavities cause no symptoms. This is why you should see your dentist at least twice a year so we can detect these visually and radiographically. When you start noticing sweet or cold sensitivity, the cavitation is deeper in the tooth and the nerve is detecting those acids and temperature changes. The next step is the bacteria get so deep they enter the nerve chamber then it’s root canal time because the tooth hurts and the nerve within the root is now infected. So keep those preventative exam and hygiene appointments so we can catch those little cavities early. As you can see in the first x-ray, the dark area (aka the cavity) is shallow and the patient was having no symptoms. The second photo shows a cavity in the nerve and the patient said it was more painful than giving birth.