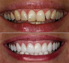
One of the things that I enjoy the most is taking someone’s smile that they have not liked for years and creating a whole new smile that functions well and the patients can be proud of. Patients have told me that this change has increased self worth, enhanced their professional lives, and given them the confidence to ask someone out. We take pride in the cosmetic dentistry that we can provide in our practice and our patients take pride in the new smiles that we have provided for them. These cases take a lot of work from my team and the lab not to mention the courage and investment from the patient to have such a change take place. Things such as porcelain veneers and crowns to long span bridges replacing several missing teeth can all contribute to creating a whole new smile.
But just like anything in life, these restorations need maintenance to stay clean and healthy plus there are things to avoid so as to not break them. While we tell our patients these precautions with their new smiles, I’ve listed some below.
1. Chewing popcorn-An unpopped kernel can break a natural tooth and can break porcelain just the same.
2. Chewing ice or hard candy-Same thing, these kinds of foods can break even the hardest porcelain.
3. WaterPik or Water Flossers-Low settings are fine, but high settings directly on the porcelain is bad.
4. Not wearing your nighttime bite guard-About 90% of our full mouth or smile makeover patients are prescribed a bite guard to wear at night. Nighttime clenching or grinding is hard on all teeth, including those with porcelain on them. Consider this the protection of your investment.
5. Not wearing an athletic mouthguard-If you play any sports, these can prevent not just tooth fracture, but also
joint problems as well if you take an elbow to the head or mouth
6. Trying to open packages or bottles with your teeth-These restorations are not designed to be used that way.
And seriously, if you are opening beer bottles with your teeth, stop…I’ll buy you a bottle opener.
7. Not brushing/flossing-Placing crowns and veneers does not make them “immune” to tooth decay. Not brushing or
flossing and not keeping up with your preventative appointments is an invitation for cavity development.
8. Using abrasive toothpastes with baking soda-while these toothpastes alone won’t destroy porcelain, they can remove
the glaze from the outer surface of the porcelain making them look dull and lifeless.
9. Using alcohol based mouthrinses-Over time, the alcohol can degrade the cements causing debonding, staining,
and eventual cavities.
10. Drinking soda, sports drinks, or energy drinks-As I discuss frequently with patients, you can still get cavities
around dental work. These drinks are the worst because of the high amounts of sugars and acids that can cause cavities.
There is no “warranty” on broken dental work. We always stand behind our work and if some breaks or comes out due to our error then we fix or replace it at no cost. But it always bothers me (and my collegues) when a patient comes in after eating or doing something they shouldn’t with their teeth and expect it to be redone for free. I can only take care of you in my office, you have to do your part as well. If you haven’t seen your dentist for your regular preventative appointments, then don’t expect something to be repaired or replaced at no cost if it has a cavity. You should feel more persuaded to keep on schedule if you’ve put in the time and investment into rehabilitating your teeth and smile.
Lastly, oftentimes I get the question on how long your new smile will last. Just as anything in life, we have the hope that it will last forever, but the reality is nothing lasts forever. The research shows that a general rule of thumb is most porcelain crowns, veneers, and bridges last around 10-20 years, sometimes shorter, but many times longer than that. So I tell patients to plan on re-doing their cosmetic dentistry every 15 years or so. The moral of the story is to take good care your teeth and they will take good care of you.

